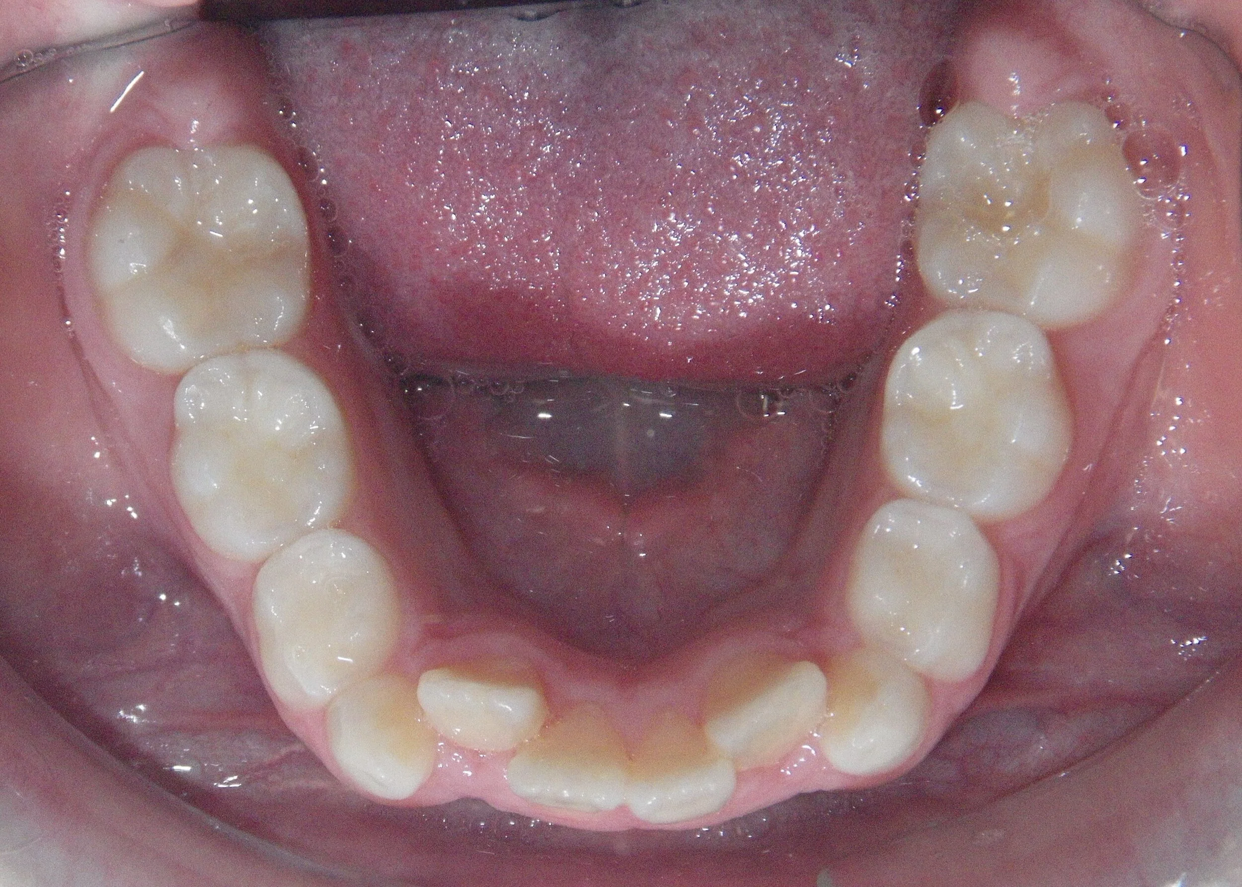
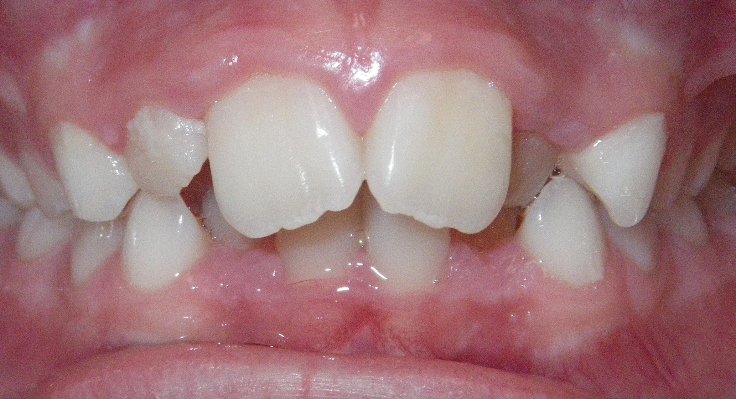
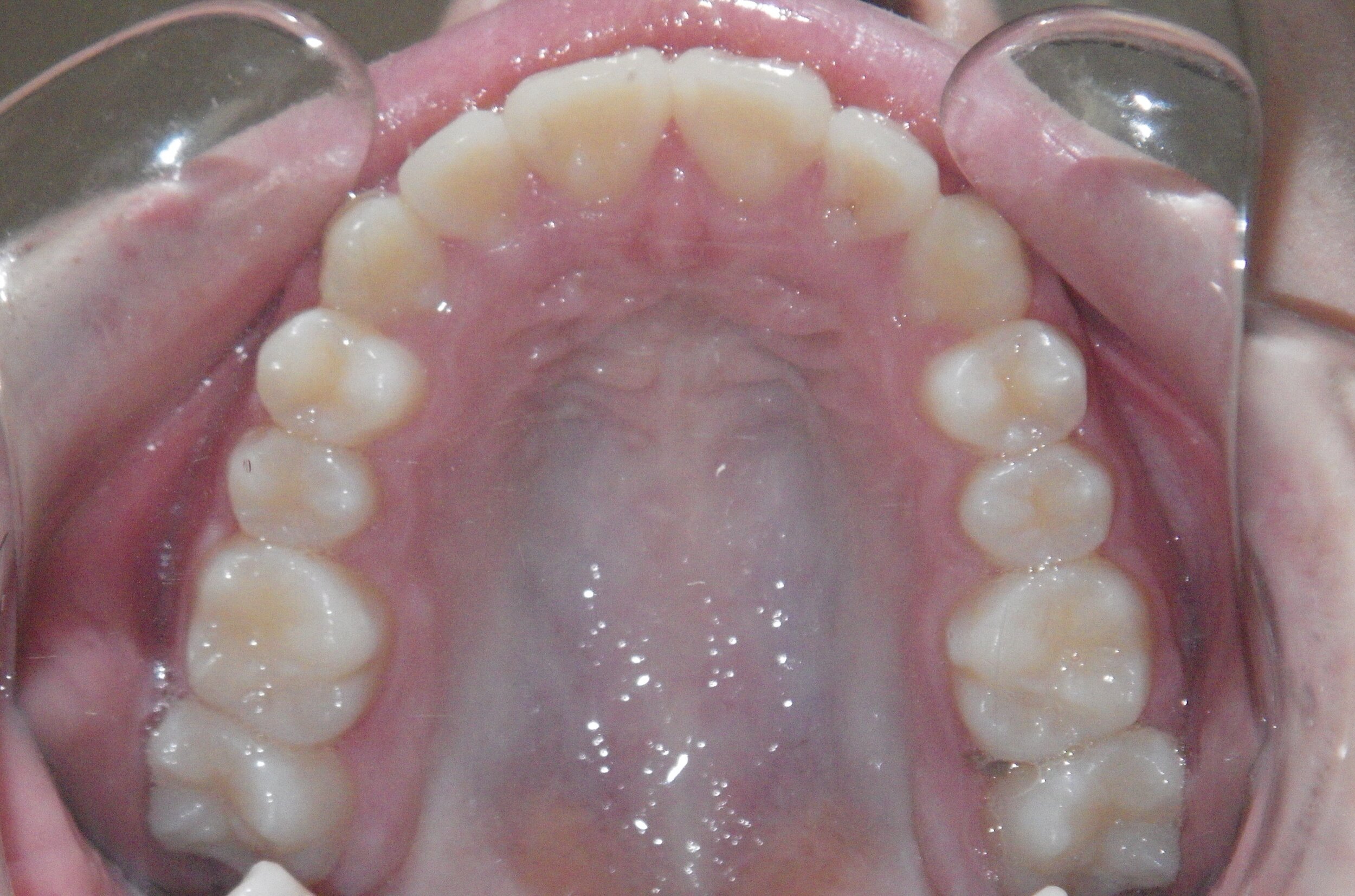
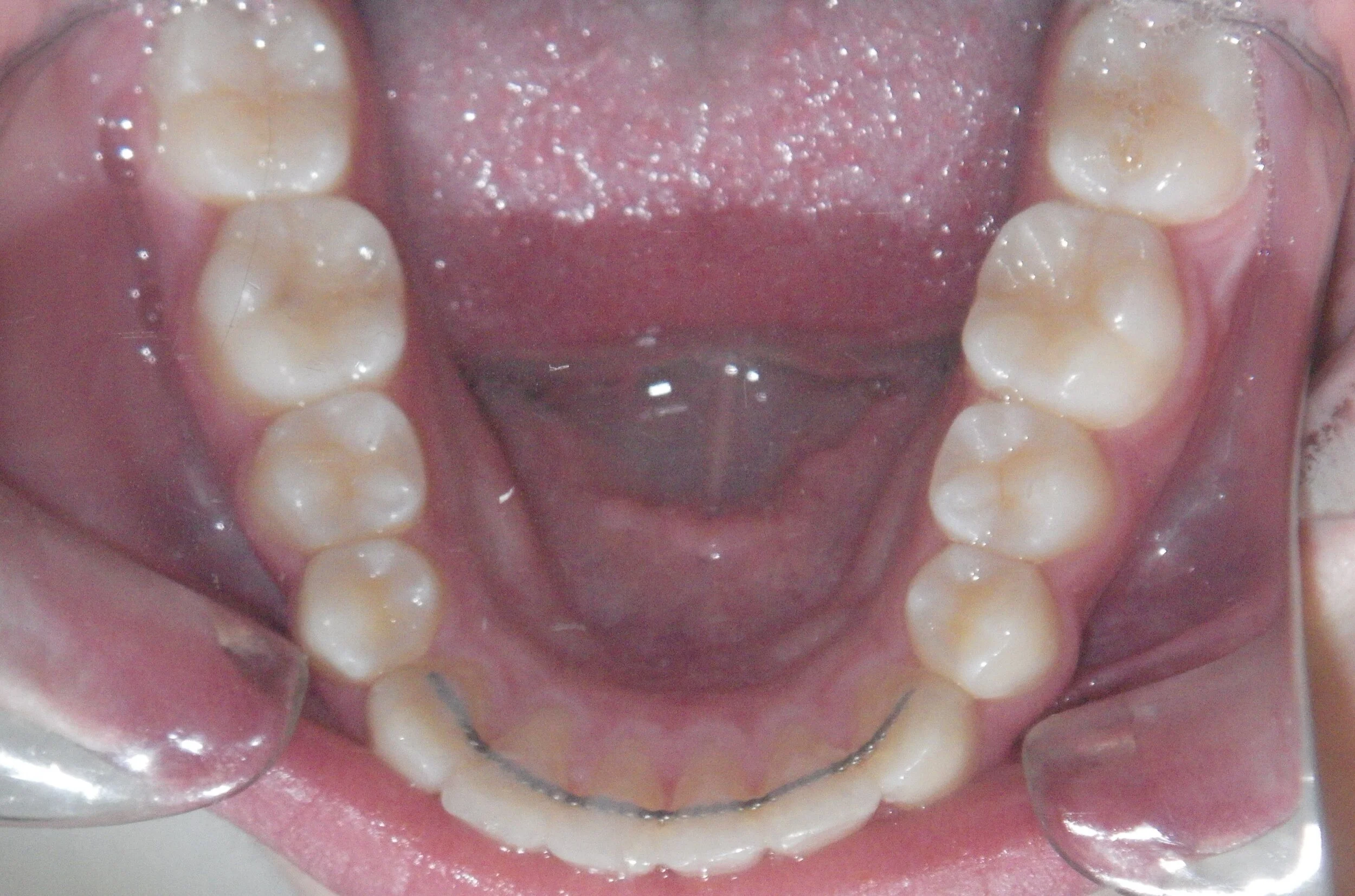
Phase I + II Braces Treatment
Phase I can be used to help change unfavorable growth or to make room so all the adult teeth have room to erupt. Here, we used Phase I to make room for the adult canines and followed up with Phase II treatment to a get a great esthetic and functional result!